
Tandskader på mælketænder – hvad gør jeg?
Hvis dit barn slår tænderne, kan det være svært at vurdere, hvor alvorlig tandskaden er. På denne side kan du læse, hvordan du skal forholde dig, hvis dit barn får et tandtraume på en mælketand – og hvornår du skal kontakte Tandplejen.
Generel information om skader på mælketænder
Hvis en mælketand bliver slået ud, kan den ikke sættes på plads igen, da der er risiko for at skade den blivende tand, som stadig ligger og udvikler sig i kæben.
Vores vigtigste mål er at sikre, at barnet ikke har smerter.
Hvis barnet har meget ondt, kan det i nogle tilfælde være nødvendigt at fjerne tanden.
Der udføres ikke kosmetisk behandling på mælketænder.
Hvis barnet har en forsikring, der dækker tandskader, bør du anmelde traumet til forsikringen.
Ved tvivl eller bekymring – kontakt altid Tandplejen for råd og vejledning.
Læs her, hvordan du skal forholde dig, hvis dit barn slår tænderne.
Kontakt straks Tandplejen
Kan der svares ja til ét eller flere af nedenstående punkter?
Kontakt da straks Tandplejen.
Undersøg barnets tænder:
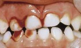
- Er der en eller flere tænder, som er tydeligt fejlstillede, og kan dit barn ikke bide korrekt sammen?

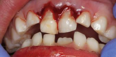
- Er der en eller flere tænder, som er knækkede, og kan der ses en rød plet/blødning midt på fladen, hvor tanden er knækket?

-
Er der en eller flere tænder, som er meget løse, og vil barnet ikke spise eller bruge sut?

Kontakt Tandplejen
Kan der svares ja til ét eller flere af nedenstående punkter?
Kontakt da Tandplejen. Barnet vil som regel få en tid dagen efter.
Hvis din undersøgelse af barnets tænder viser:
- Let løsning af en eller flere tænder.
- Blødning fra tandkødet omkring de slåede tænder

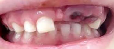
- En eller flere mistede tænder.

- En eller flere knækkede tænder, hvor der mangler et større stykke, men hvor tanden/tænderne ikke er voldsomt kuldefølsomme.

Meld skaden til jeres forsikringsselskab, og informer Tandplejen om traumet ved næste besøg.
Kan der svares ja til ét eller flere af nedenstående punkter?
Meld skaden til jeres forsikringsselskab, og informer Tandplejen om skaden ved næste besøg.
Nogle forsikringsselskaber ønsker at få tilsendt en såkaldt traumeerklæring. Er dette tilfældet, kontaktes Tandplejen.
Hvis undersøgelsen af barnets tænder viser:
- Et mindre stykke af en tand/tænder er knækket af.

- Ingen synlige forandringer af tænder eller tandkød.
Senfølger
Det er ikke altid muligt at vurdere på skadestidspunktet, om tanden har taget skade, hvis der ikke ses en tydelig skade.
Tanden kan dog reagere senere, og der kan opstå senfølger.
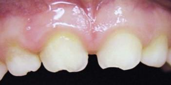
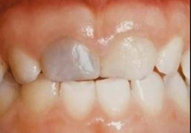
- Hvis en eller flere tænder bliver blå, grå eller gule, skyldes det en blødning inde i tanden, hvilket betyder, at tandnerven er død.
Så længe barnet ikke har smerter, foretages der ingen behandling.
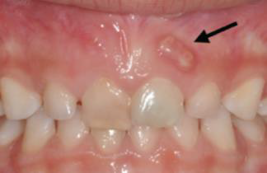
-
Hvis der opstår en “bums” eller byld på tandkødet over den eller de traumatiserede tænder, skal Tandplejen kontaktes med henblik på behandling.


