
Tandskader på blivende tænder – hvad gør jeg?
Hvis dit barn slår tænderne, kan det være svært at vurdere, hvor alvorlig tandskaden er. På denne side kan du læse, hvordan du skal forholde dig, hvis dit barn får et tandtraume på en blivende tand – og hvornår du skal kontakte Tandplejen.
Generel information om tandskader på blivende tænder
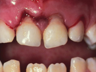
En blivende tand, der er slået helt ud, skal så hurtigt som muligt sættes på plads i kæben.
Er det ikke muligt, skal tanden opbevares fugtigt – helst i mælk eller vand.
En udslået tand må aldrig tørre ud, da en tør tand har meget svært ved at gro fast igen.
Ved mistet tand
Er tanden ren, så sæt den om muligt tilbage i kæben så hurtigt som muligt.
Undgå at røre ved tandroden.
Barnet bør bide forsigtigt sammen på fx et rent viskestykke på vej til tandlægen.
Er tanden kun lidt beskidt, kan den skylles forsigtigt i spyt eller mælk, inden den sættes på plads i kæben.
Kan tanden ikke sættes på plads, skal den opbevares under overlæben (vær opmærksom på, at tanden ikke sluges – alternativt kan en voksen holde tanden i munden) eller i et glas mælk.
Er du i tvivl – kontakt altid Tandplejen for råd og vejledning.
Uden for Tandplejens åbningstid kontaktes skadestuen/vagtlægen.
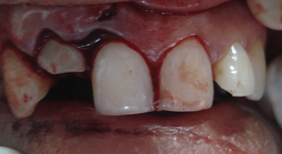
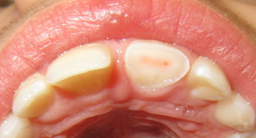
Knækkede tænder
Tandkroner eller hjørner, der er knækket af, kan ofte limes på igen.
Disse tandstykker skal opbevares fugtigt i mælk eller vand.
Hvis et knækket hjørne mangler, kan tanden bygges op med et tandfarvet plastmateriale, som har god holdbarhed.
Er tanden knækket, kan tandens nerve være blottet.
I så fald er det vigtigt hurtigst muligt at få dækket brudfladen med et fyldningsmateriale.
På den måde har tandens nerve størst mulighed for at overleve.
Opfølgning og forsikring
Opfølgende behandling er et kommunalt ansvar, indtil barnet eller den unge fylder 22 år.
Herefter sker behandling af tidligere tandskader og eventuelle senfølger for egen regning.
Det kan desværre være både omfattende og dyre behandlinger,
så det er vigtigt at have en tandskadeforsikring – også for børnene.
Hvis barnet har en forsikring, der dækker tandskader, bør du anmelde traumet til forsikringen.
Er du i tvivl – kontakt altid Tandplejen for råd og vejledning.
Læs her, hvordan du skal forholde dig, hvis dit barn slår tænderne
Kontakt Tandplejen straks
Kan der svares ja til ét eller flere af nedenstående punkter?
Kontakt da Tandplejen straks.
Undersøg tænderne:
- Er en eller flere tænder tydeligt fejlstillede eller mistede?

- Er en eller flere tænder knækkede, og kan der ses en rød plet/blødning midt på fladen, hvor tanden er knækket?


- Bløder det fra tandkødet omkring den eller de slåede tænder?

- Er en eller flere tænder så løse, at de kan bevæges mere end 1 mm frem og tilbage?
Kontakt Tandplejen
Kan der svares ja til ét eller flere af nedenstående punkter?
Kontakt da Tandplejen. Barnet vil som regel få en tid dagen efter.
- Er der knækket noget af tanden, men der ses ikke nogen rød plet/blødning midt på tandfladen, og tanden er ikke meget kuldefølsom?

- Er tanden kun lidt løs, og ses der ikke blødning fra tandkødet omkring tanden?
Meld skaden til forsikringen – kontakt også Tandplejen og få en tid til kontrol
Kan der svares ja til ét eller flere af nedenstående punkter?
Meld da skaden til forsikringen – kontakt også Tandplejen og få en tid til kontrol (dette haster ikke).
- Er der kun knækket ganske lidt af tanden, og har barnet ikke ondt fra tanden?

- Er der mikrorevner i tanden uden noget knækket af, og har barnet ikke ondt fra tanden?


