
Tandpine eller uheld
Har du brug for en akut tid på grund af tandpine eller skade efter uheld? Så skal du kontakte Tandplejen Svendborg på 62 23 40 95 eller tandlægevagten.
Akut tandlægehjælp
Kontakt Tandplejen Svendborg på telefon: 62 23 40 95
Uden for Tandplejens åbningstider:
På hverdage:
Kontakt privat tandlæge
I weekender og på helligdage:
Kontakt tandlægevagten - OUH: 99 44 08 09
Akut og nødvendig behanling betales af Tandplejen Svendborg Kommune
Tandlægevagten
Tandlægevagten tilbyder akut tandlægehjælp til voksne og børn i form af smertebehandling og behandling i forbindelse med mindre tandskader, for eksempel tabte fyldninger.
Vagten drives efter sygesikringsoverenskomsten. Voksne vil derfor blive opkrævet den overenskomstmæssige egenbetaling. Børn behandles på kommunernes regning.
Tandlægevagten betjenes af erfarne tandlæger og klinikassistenter. Vagten er åben mellem kl. 10 og 12 på lørdage, søndage og helligdage samt jule- og nytårsaftensdag.
Tandlægevagten: Lørdag, søn- og helligdage, telefon kl. 9.00-12.00. Heden 7, 5000 Odense C. Telefon: 90 44 08 09
Tandskader
Børn er særligt udsatte for uheld, der medfører tandskader.
Mælketænder
Hvis en mælketand bliver slået helt ud, må den ikke sættes på plads igen, fordi de blivende tænder nemt kan blive beskadiget.
Blivende tænder
En blivende tand der er slået helt ud, skal så hurtigt som muligt sættes på plads i kæben. Er det ikke muligt, skal den opbevares fugtigt i mælk eller vand. En udslået tand må aldrig tørre ud, da en tør tand har meget svært ved at gro fast igen. Tandplejen kontaktes straks. Udenfor tandplejens åbningstid kontaktes skadestuen.
Tandkroner eller hjørner der er knækket af tænder, kan ofte limes på igen. Disse tandstykker skal opbevares fugtigt i mælk eller vand.
Hvis et knækket hjørne er væk, kan tanden bygges op i tandfarvet plastmateriale, der har en god holdbarhed.
Er tanden knækket, kan tandens nerve være blottet. I de tilfælde er det vigtigt, at få brudfladen dækket med et fyldningsmateriale så hurtigt som muligt. På den måde har tandens nerve størst mulighed for at overleve.
Opfølgende behandling er et kommunalt ansvar indtil barnet/den unge fylder 22 år.
Herefter sker behandling af tidligere tandskader og senfølger heraf for egen regning.
Det kan desværre være omfattende og dyre behandlinger.
Det er derfor vigtigt, at have en tidssvarende tandskadeforsikring - også for børnene.
Tandskader - hvad gør jeg?
Barnet er tit meget ked af det efter at have slået tænder/ansigt og et tandlægebesøg gør dem ikke mindre kede af det. Derfor:
- Trøst barnet og se om du kan få lov at se tænderne
- Undersøg om barnet vil spise/bruge sut
- Undersøg om barnet kan bide sammen
- Giv Panodil efter behov tilpasset barnet alder/størrelse.
Skader på mælketænder
Kan der svarers "JA" til minimum ét af nedenstående punkter?
Kontakt da straks Tandplejen.
Kontrollér tænderne efter traume (se billeder for illustration nedenfor):
- Er der en/flere tænder som er tydeligt fejlstillet og kan barnet kan ikke bide korrekt sammen?
- Er der en/flere tænder som er knækkede og kan der ses en rød plet/blødning midt på fladen, hvor tanden er knækket?
- Er der en/flere tænder som er meget løse og barnet vil ikke spise/bruge sut?
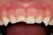
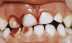
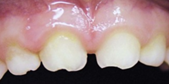
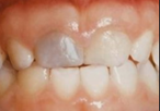
1. Traume, mælkefortand


2. Knækket mælkefortand


3. Løs mælkefortand


Kan der svares “JA” til minimum ét af nedenstående punkter?
Kontakt da Tandplejen - Barnet vil oftest få en tid dagen efter.
Hvis din undersøgelse af barnets tænder viser:
- Let løsning af en/flere tænder.
- Blødning fra tandkødet omkring de slåede tænder.
- En/flere mistede tænder.
- En/flere knækkede tænder, hvor der mangler et stort stykke, men hvor tanden/tænderne ikke er voldsomt kuldefølsomme.
2.


3.


4.


Kan der svares “JA” til minimum ét af nedenstående punkter ?:
Meld skaden til jeres forsikringsselskab og informer om traumet ved næste besøg i Tandplejen. (Nogle forsikringsselskaber ønsker at få tilsendt en såkaldt traumeerklæring. Er dette tilfældet, kontaktes Tandplejen.)
Hvis undersøgelsen af barnets tænder viser:
- Et mindre stykke af en tand/tænder er knækket af.
- Ingen synlige forandringer af tænder eller tandkød.
1.


Hvis der et stykke tid efter traumet er sket ses:
- En/flere tænder er blevet blå/grå/gul; det betyder, at der har været en blødning inde i tanden og at tandnerven nu er død. Så længe barnet ikke har ondt, foretages ingen behandling.
- En ’bums’/’byld’ på tandkødet over den/de traumatiserede tænder – kontakt tandplejen med henblik på behandling
1.


Generel info omkring traume på mælketænder:
- Mælketænder kan ikke ’sættes på plads igen pga. risiko for skade på ’voksentanden’, der stadig ligger og modner oppe i knoglen.
- Vores mål er at sikre, at barnet ikke har ondt.
- Hvis barnet har meget ondt, er den eneste løsning ofte at fjerne tanden helt.
- Der foretages ikke kosmetisk behandling på mælketænder.
Hvis barnet har en forsikring, der dækker tandskader, bør forældrene melde traumet til forsikringen.
Ved tvivl kontakt altid tandplejen med henblik på råd og vejledning.
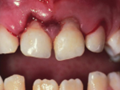
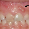
Skader på blivende tænder
Kan der svares "JA" til til minimum ét af nedenstående punkter?
Kontakt da tandplejen straks.
Kontrollér tænderne efter traume (se billeder for illustration nedenfor):
- Er en/flere tænder tydeligt fejlstillet eller mistet (forholdsregler ved mistet tand: Se sidste side)?
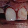
- Er en/flere tænder knækket og kan der ses en rød plet/blødning midt på fladen, hvor tanden er knækket?
- Bløder det fra tandkødet omkring den/de slåede tand/tænder?
- Er en/flere tænder så løse, at de kan rokke mere end 1 mm frem og tilbage?
2.


3.


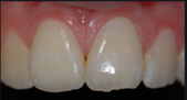
Kan der svares "JA" til minimum ét af nedenstående punkter?
Kontakt da Tandplejen - barnet vil oftest få en tid dagen efter.
- Er der knækket noget af tanden, men der ses ikke noget ’rødt’/en rød plet/blødning midt på tandfladen, og tanden er ikke meget kuldefølsom?
- Er tanden kun lidt løs, og ses der ikke blødning fra tandkødet omkring tanden?
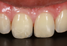
Kan der svares "JA" til minimum ét af nedenstående spørgsmål?
Meld skaden til forsikringen - kontakt også tandplejen og få en tid til kontrol (dette haster ikke).
- Er der kun knækket ganske lidt af tanden, og har barnet ikke ondt fra tanden?
- Er der mikrorevner i tanden uden noget knækket af, og har barnet ikke ondt fra tanden?
1.


2.


Ved mistet tand:
- Er tanden ren, sæt den om muligt tilbage i kæben så hurtigt som muligt. Undgå at røre ved tandroden. Barnet bør bide sammen på fx et viskestykke på vej til tandlægen.
- Er tanden kun lidt beskidt, kan den skylles forsigtigt i spyt eller mælk, inden den sættes på plads i kæben.
- Ellers opbevar tanden/tandstykket under overlæben (pas på, at tanden ikke sluges - alternativt må en voksen gerne holde tanden i sin mund) eller i et glas mælk.
Hvis barnet har en forsikring, der dækker tandskader, bør forældrene melde traumet til forsikringen.
Ved tvivl kontakt altid tandplejen med henblik på råd og vejledning.









